This repository is under review for potential modification in compliance with Administration directives.
[#6201] 3D tracing error
Date: 2011-10-26 16:55 |
Priority: more information 3 |
Submitted By:
y z (zhuangy)
|
Assigned To: more information
Nobody (None) |
Product: None | Operating System: None |
Component: None |
Summary: more information 3D tracing error |
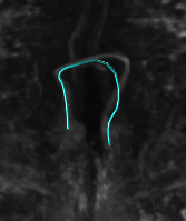
| Detailed description |
The tracing result is still
not matched to the image perfectly.
We use right-click to choose item "drag nearest neuron-segment" to
drag the tracing result (.swc) to match the neuron in the image.
Then click "extend/refine nearest neuron-segment" to automatically
find the best-fit tracing result. But the result is not good as
expected shown in the attached figures.
Screen shot 2011-10-26 at 11.27.39 AM.jpg
zoom: 13
rotation: x32 y6 z359
Screen shot 2011-10-26 at 11.34.04 AM.jpg
zoom: 13
rotation: x37 y 15 z12
| |
|
Response
No Responses Have Been Posted |
Attached Files:
| Name |
Download |
| Screen shot 2011-10-26 at 11.27.39 AM.png |
Download |
| Screen shot 2011-10-26 at 11.34.04 AM.png |
Download |
|
|
Changes:
| Field |
Old Value |
Date |
By |
| File Added | 418: Screen shot 2011-10-26 at 11.34.04 AM.png | 2011-10-26 16:55 | zhuangy |
| File Added | 417: Screen shot 2011-10-26 at 11.27.39 AM.png | 2011-10-26 16:55 | zhuangy | |
|