questions > dcm2nii co.nii have some problems
Showing 1-4 of 4 posts
Oct 24, 2022 05:10 AM | liming
dcm2nii co.nii have some problems
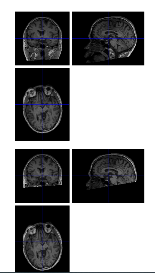
Dear Chris Rorden, when I use dcm2nii to convert DICOM
images to NIfTI, the output files have three kinds, original nii,
o.nii, co.nii. Many people recommend to use co.nii for vbm segment
and normalization, but I found some co.nii seemed abnormal, some
brain tissue seemed being cropped. Can such co.nii be used for vbm
analysis, can you give me some suggestions. Thank you very much
Oct 24, 2022 11:10 AM | Chris Rorden
RE: dcm2nii co.nii have some problems
The cropping assumes that you are using a T1 scan that was
approximately oriented in the AC-PC plane (anterior commissure,
posterior commissure) which is typical for MRI. It looks like your
scans are with the angle of rotation more similar to CT scans
(where one wants to reduce radiation to the eyes and minimize
artifacts from dental fillings). In this case, the dcm2niix
cropping function will not work well. I would be especially careful
normalizing you r scans to standard space, as the slice angle does
not match the template so there may be a poor starting estimate.You
may can to try a script like
https://github.com/neurolabusc/nii_preprocess/blob/master/nii_setOrigin12.m
For future acquisitions, it may be worthwhile to see if you can have the images acquired to match the MR convention.
https://github.com/neurolabusc/nii_preprocess/blob/master/nii_setOrigin12.m
For future acquisitions, it may be worthwhile to see if you can have the images acquired to match the MR convention.
Oct 24, 2022 01:10 PM | liming
RE: dcm2nii co.nii have some problems
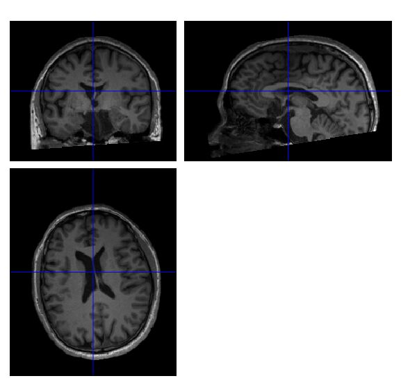
Thank you very much! I convert the DICOM to NIfTI by dcm2nii
previously, not dcm2niix. And I just tried dcm2niix to convert it,
the crop.nii seems no brain tissue were cropped.
1.So I want to ask the if co.nii converted by dcm2nii showed some brain tissue were cropped, is it shouldn't be used for vbm analysis?
2. If crop.nii converted by dcm2niix showed no brain tissue were cropped, can it be used for vbm analysis, since some tools like CAT12 can set orign in the segment preprocess.
1.So I want to ask the if co.nii converted by dcm2nii showed some brain tissue were cropped, is it shouldn't be used for vbm analysis?
2. If crop.nii converted by dcm2niix showed no brain tissue were cropped, can it be used for vbm analysis, since some tools like CAT12 can set orign in the segment preprocess.
Oct 24, 2022 03:10 PM | Chris Rorden
RE: dcm2nii co.nii have some problems
I would not use a cropped image if it removes some of the
cerebellum. In general, SPM12/CAT12 are very robust for having
excess neck in the image, as long as they get a good starting
estimate. The origin should be near the anterior commissure. By
default MRI scans use the magnet isocenter as the origin. FSL tends
to be more sensitive to excess neck as this changes the center of
brightness.
