help > overaggressive with T1w input
Showing 1-2 of 2 posts
Feb 4, 2020 05:02 PM | petemade
overaggressive with T1w input
Hi,
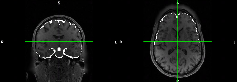
As we have been reviewing our Auto_EACSF output, we have noticed that the output for T1w input is missing significant chunks of CSF in comparison with the output for T1w and T2w input (especially in the posterior regions). This can be seen in the attached png file.
What is it in the code that is leading Auto_EACSF to be overaggressive with T1w only input? Are there ways to mitigate this problem without T2w input?
Thanks for your help,
Maddy
As we have been reviewing our Auto_EACSF output, we have noticed that the output for T1w input is missing significant chunks of CSF in comparison with the output for T1w and T2w input (especially in the posterior regions). This can be seen in the attached png file.
What is it in the code that is leading Auto_EACSF to be overaggressive with T1w only input? Are there ways to mitigate this problem without T2w input?
Thanks for your help,
Maddy
Feb 5, 2020 03:02 PM | Martin Styner
RE: overaggressive with T1w input
Originally posted by petemade:
The tool actually treats T1w-only data the same way as T1w-and-T2w data (the T2w image is simply an added channel in the tissue classifier).
The issue is that most tissue classification process of T1w-only data will often yield undersegmentations of extra-axial CSF (I don't know any that would not), as CSF is very dark on T1w data, similar to the appearance of air and bone regions. A classifier is often unsure whether dark areas close to the outside of the brain is skull or the sinuses or CSF. Thus yielding either over or under segmentations.
If you add a T2w dataset, on the other hand, the identification of CSF regions becomes very straightforward for any classifier, as fluid filled spaces are the only regions that are super dark on T1w and super bright on T2w.
So, my recommendation for any CSF analysis is to use both T1w and T2w data, otherwise one can expect the need for a lot of manual corrections of the CSF/EA-CSF segmentation.
Best
Martin
Hi,
As we have been reviewing our Auto_EACSF output, we have noticed that the output for T1w input is missing significant chunks of CSF in comparison with the output for T1w and T2w input (especially in the posterior regions). This can be seen in the attached png file.
What is it in the code that is leading Auto_EACSF to be overaggressive with T1w only input? Are there ways to mitigate this problem without T2w input?
Thanks for your help,
Maddy
Hi MaddyAs we have been reviewing our Auto_EACSF output, we have noticed that the output for T1w input is missing significant chunks of CSF in comparison with the output for T1w and T2w input (especially in the posterior regions). This can be seen in the attached png file.
What is it in the code that is leading Auto_EACSF to be overaggressive with T1w only input? Are there ways to mitigate this problem without T2w input?
Thanks for your help,
Maddy
The tool actually treats T1w-only data the same way as T1w-and-T2w data (the T2w image is simply an added channel in the tissue classifier).
The issue is that most tissue classification process of T1w-only data will often yield undersegmentations of extra-axial CSF (I don't know any that would not), as CSF is very dark on T1w data, similar to the appearance of air and bone regions. A classifier is often unsure whether dark areas close to the outside of the brain is skull or the sinuses or CSF. Thus yielding either over or under segmentations.
If you add a T2w dataset, on the other hand, the identification of CSF regions becomes very straightforward for any classifier, as fluid filled spaces are the only regions that are super dark on T1w and super bright on T2w.
So, my recommendation for any CSF analysis is to use both T1w and T2w data, otherwise one can expect the need for a lot of manual corrections of the CSF/EA-CSF segmentation.
Best
Martin
