open-discussion
open-discussion > RE: How to Convert images Nifty (.nii) to PNG ?
Jan 30, 2015 10:01 PM | Christian Haselgrove
RE: How to Convert images Nifty (.nii) to PNG ?
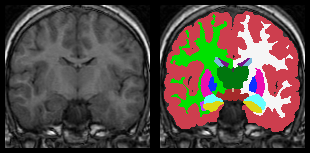
On a slightly different note, can any of these tools generate a
segmentation overlay (like the figure on the right in the attached
image)? Most of the colormaps I see supported in various
tools are scaled to statistical values (rather than strict
value-to-RGB that I really want); nilearn does appear to support an
unscaled colormap, but only on a single anatomical image (not a
segmentation overlay).
Threaded View
| Title | Author | Date |
|---|---|---|
| Laura E | Jan 16, 2015 | |
| bobey pham | Mar 9, 2015 | |
| Christian Haselgrove | Jan 30, 2015 | |
| Gael Varoquaux | Jan 31, 2015 | |
| Christian Haselgrove | Feb 2, 2015 | |
| vsochat | Jan 30, 2015 | |
| Adrian Dalca | Jan 16, 2015 | |
| vsochat | Jan 30, 2015 | |
| mary irani | Jan 17, 2015 | |
| Laura E | Jan 19, 2015 | |
| Shekhar Chandra | Jan 30, 2015 | |
| Laura E | Jan 16, 2015 | |
| shirin shn | Jan 16, 2015 | |
