Hello,
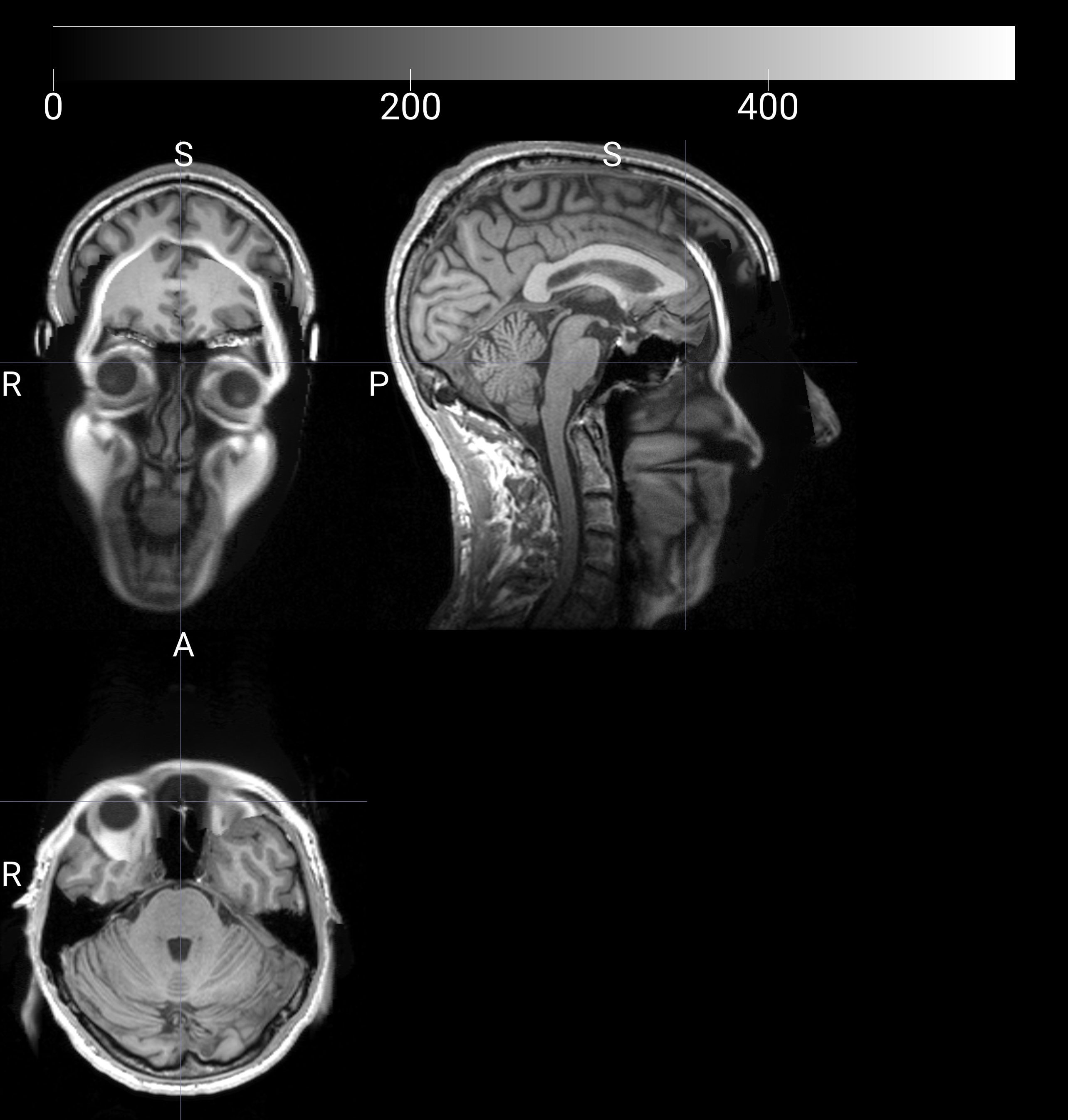
I've been using mri-reface on T1 images for my set of 33 participants. All worked well, except for the scans of 2 participants. The problem is that the new face is attached to the rest of the image in a way that it extends into and thus disrupts the brain. I attach an example image -- it's of my own brain/head, so I don't mind sharing it. (I think my head is too long in the y axis!) Do you have any recommendations for how I could fix this (e.g., are there settings I can adjust)? Or perhaps it requires some changes to the mri-reface package?
Thanks,
Anthony
Anythony,
I'm sorry I missed your message. I thought I was subscribed to receive an email for posts in this forum, but apparently I was only subscribed to "general-discussion" but not "help".
That doesn't look like a usual failure case where the registration just went bad. I suspect your input .nii file may have had a mismatched Sform/Qform. If that's the case, then the new version I uploaded today (0.3.3) would fix it.
If that's NOT the case, then the new version would have no effect at all. In such a case, you can try the -altReg option. The program tries two registration routines and attempts to pick the one with the better score. Sometimes that chooses incorrectly, and you can tell it to choose the other one, and that helps.
If altReg also fails, the only option is to provide a coregistration manually via the -regFile option. Note that the input coreg must be to the MCALT template (NOT to MNI/ICBM or something else). If you copy/rename the mri_reface binary to mri_reface.zip, you can unzip this to extract the MCALT_FaceTemplate_T1.nii inside, do the coreg with your favorite affine coreg program, and provide that to mri_reface with -regFile.
Chris Schwarz
