help > Display issue with MRICron: image stretched z-direction
Showing 1-4 of 4 posts
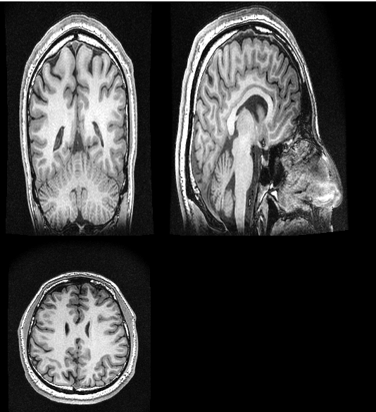
Sep 17, 2020 01:09 PM | antoninro
Display issue with MRICron: image stretched z-direction
Hello!
I am reading a nifti file obtained using dcm2niix from a set of 3DT1 images from a GE scanner.
Dcm2niix doesn't seems to produce any error nor warning (even in verbose mode).
However, the image seems stretched in the z-direction, which is also the slice direction (i.e. the 3DT1 was acquired in axial mode).
Note that opening the exact same nifti file with another viewer such as FSLEyes goes perfectly fine... by clicking "Info" I get the same slice number (about 300) and dim3 size (0.5mm) than using MRIcron.
Tested with MRIcron, latest version on MacOS and Linux (Ubuntu). Conversion done on Ubuntu with latest version of dcm2niix.
Please find a screenshot attached to this message.
Best
Antonin Rovai
I am reading a nifti file obtained using dcm2niix from a set of 3DT1 images from a GE scanner.
Dcm2niix doesn't seems to produce any error nor warning (even in verbose mode).
However, the image seems stretched in the z-direction, which is also the slice direction (i.e. the 3DT1 was acquired in axial mode).
Note that opening the exact same nifti file with another viewer such as FSLEyes goes perfectly fine... by clicking "Info" I get the same slice number (about 300) and dim3 size (0.5mm) than using MRIcron.
Tested with MRIcron, latest version on MacOS and Linux (Ubuntu). Conversion done on Ubuntu with latest version of dcm2niix.
Please find a screenshot attached to this message.
Best
Antonin Rovai
Sep 17, 2020 01:09 PM | Chris Rorden
RE: Display issue with MRICron: image stretched z-direction
Sounds like a variation of issue 386 https://github.com/rordenlab/dcm2niix/issues/386, e.g. GE's interpolation of 3D datasets. Note that both MRIcron
and FSLeyes use dcm2niix to convert DICOM images, so this reflects
which version of dcm2niix you are using. The latest developmental
release (and upcoming stable release) should fix this. You can
always put the developmental release of dcm2niix in your MRIcron
Resources folder to use it instead of the version that ships with
your software.
If this does not resolve your issue, please post an issue on Github.
For future acquisitions, I strongly encourage disabling the interpolation on the console. Interpolation requires more disk space and will disrupt some post processing (mrdegibbs).
If this does not resolve your issue, please post an issue on Github.
For future acquisitions, I strongly encourage disabling the interpolation on the console. Interpolation requires more disk space and will disrupt some post processing (mrdegibbs).
Sep 17, 2020 01:09 PM | antoninro
RE: Display issue with MRICron: image stretched z-direction
Hello,
I used the same version of dcm2niix for both images because I directly opened the nifti in FSLEyes and MRIcron. Dcm2niix was used before that, in command line mode, not using any GUI.
At any rate:
- I'll wait for the next release
- I'll disable interpolation on the console
Thanks
Antonin
I used the same version of dcm2niix for both images because I directly opened the nifti in FSLEyes and MRIcron. Dcm2niix was used before that, in command line mode, not using any GUI.
At any rate:
- I'll wait for the next release
- I'll disable interpolation on the console
Thanks
Antonin
Sep 17, 2020 02:09 PM | Chris Rorden
RE: Display issue with MRICron: image stretched z-direction
Oh, sounds like it is just an anisotropic image. Did you try going
to MRIcron's Help/Preferences window and choosing "Reorient images
when loading" and reloading the image? You may also want to try MRIcroGL which is able to leverage modern hardware.
