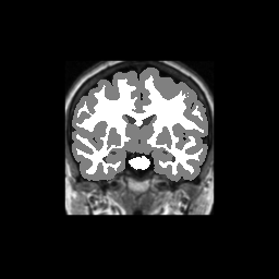
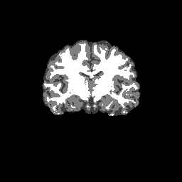
FSL Segmentation
The tool performance pages are in beta. Please see the NITRC Tool Performance Project for more information and contact moderator@nitrc.org with questions or comments.
This page displays NITRC Segmentation Performance Version 1.0 data.
Basic Information
| Version: | 6.0.5.2:dc6f4207 |
| Command line: | fslreorient2std ; bet ; fast |
| Runtime: | 3:44 +- 0:24 on NITRC-CE v0.54.0 on AWS t3.xlarge |
Accuracy Overview (IBSR)
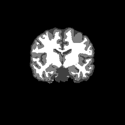
Accuracy is reported as Dice overlaps between a tool's segmentation and the Internet Brain Segmentation Repository (IBSR) manual segmentation for each of the 18 IBSR subjects. The inter-tool comparison (on the left below) shows the median Dice coefficient for each tissue class. The overlaps for FSL (from which the median values are drawn) are shown in the plot on the right.
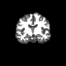
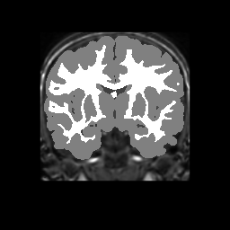
Subject Accuracy (IBSR)
Overlap coefficients for each tissue class are shown here for each IBSR subject. Select a subject below to see the FSL results compared to other tools.
Test/Retest Reliability
FSL was run on each scan in the Brain Segmentation Testing Protocol (BSTP) between-scanner test/retest dataset. Select a subject below to see volumes for each subject across the subject's scans.
