help
help > How to adjust preferences to load all volumes?
Jul 7, 2020 06:07 PM | sbr
How to adjust preferences to load all volumes?
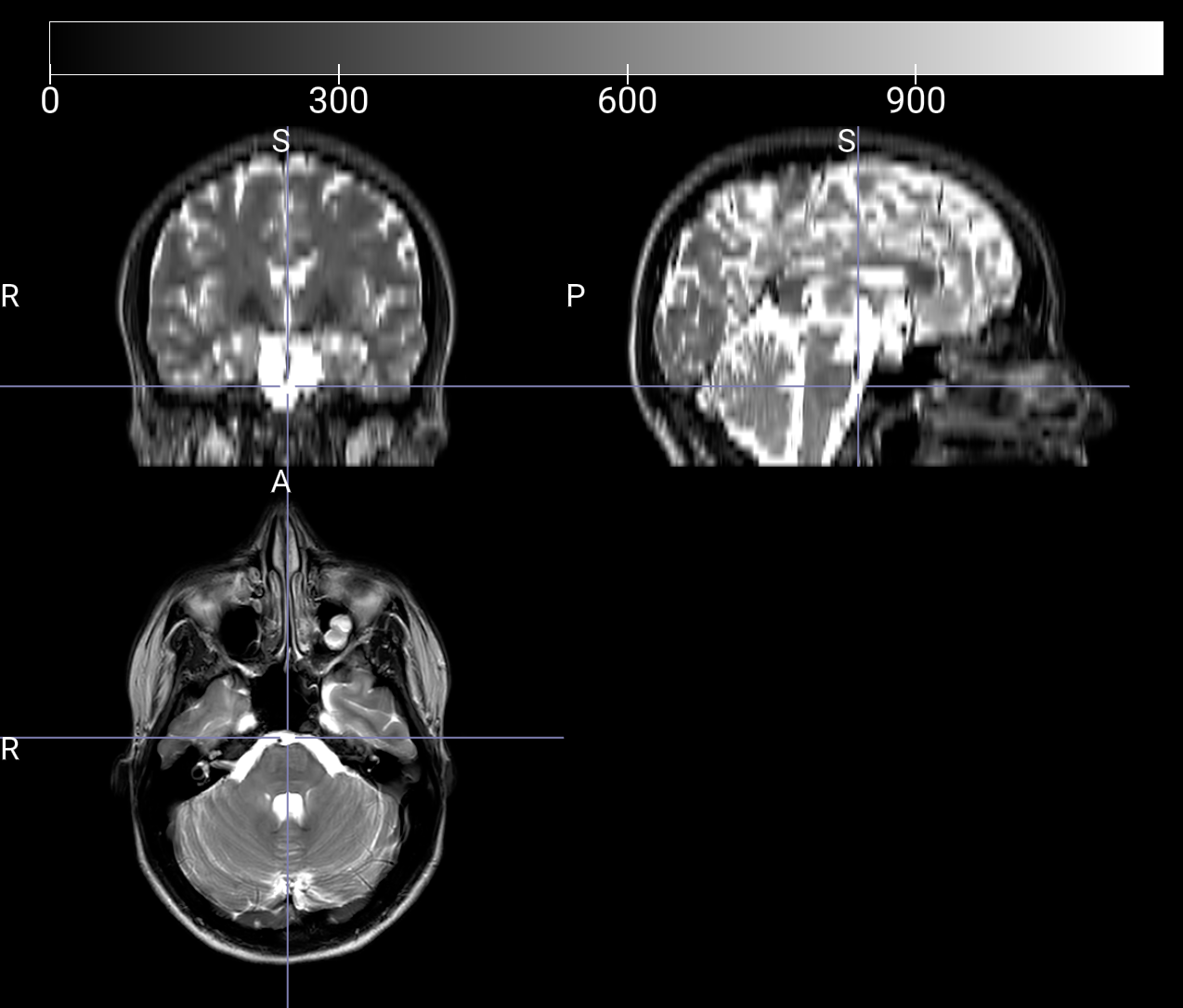
When attempting to load the NIfTI file images, a pop-up message
indicates that a "large image downsample" has occurred and that an
adjustment in the preferences must be completed to load all
volumes. Currently, this makes the sagittal and coronal views of
the images look blurry (attached image). Could anyone give me
directions on how to alter this in the preferences (which setting
to alter) to be able to load all volumes?
Thank you in advance.
Thank you in advance.
Threaded View
| Title | Author | Date |
|---|---|---|
| sbr | Jul 7, 2020 | |
| Chris Rorden | Jul 7, 2020 | |
| mehrnaz kamyab | Jan 12, 2022 | |
| Chris Rorden | Jan 12, 2022 | |
| mehrnaz kamyab | Jan 12, 2022 | |
| sbr | Jul 7, 2020 | |
